您的购物车目前是空的!
外泌体检测方法
1.NTA(粒径及浓度)
利用纳米颗粒跟踪分析检测仪对外泌体进行基础检测,能够精确捕捉外泌体的粒径范围及浓度数据,并将所有原始数据纳入检测指标。
Zeta电位测试:在纳米颗粒跟踪分析检测仪上加装电位检测模块,用于检测外泌体表面的电位。

纳米颗粒跟踪分析检测仪

外泌体粒径与浓度检测结果

统计学数据
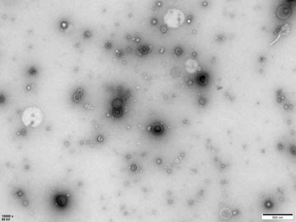
2.透射电镜
采用重金属盐(醋酸双氧铀)进行负染色,便于图像采集,展示外泌体样品的超微结构表征。结合NTA数据,电镜效果非常可靠且可控,分辨率可达0.1nm,相机像素高,单张照片内存超过50M。

透射电镜

透射电镜下图像
3.外泌体免疫电镜
在透射电镜检测基础上,引入免疫学概念,利用外泌体膜蛋白的抗体进行免疫标记,再通过胶体金二抗指示抗原位置。胶体金在电镜下呈现粒径均一、质地均匀的黑色颗粒,从而在形态学和免疫学上同时鉴定外泌体。这样,实验结果中既能获得经典形态的外泌体,又能直观观察到外泌体表面携带的蛋白位置。
4.其他服务
纳米流式:使用纳米流式仪,测量粒径、浓度与外泌体表面蛋白。
提供GMP级外泌体冻干粉,由人脐带间充质干细胞培养后获得。
评价
目前还没有评价